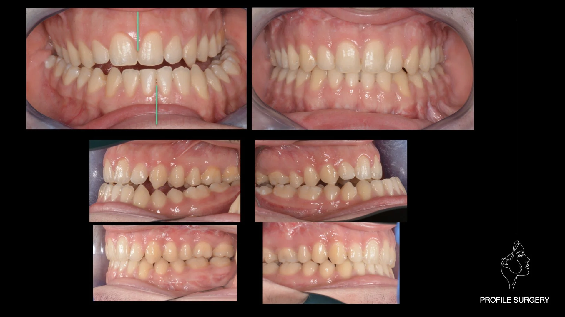
-
La rinoplastica puo’ essere eseguita contemporaneamente ad un intervento di chirurgia ortognatica oppure isolata o anche associata ad una mentoplastica o ad una malaroplastica
-
Superiore Inferiore Combinata Associata al lifting del sopracciglio
-
Finalità: Correzione di orecchie a sventola (prominenti), lobi troppo grandi/lesionati, asimmetrie o difetti congeniti.
Procedura: Il chirurgo incide la cute dietro l'orecchio (solco retroauricolare), rimodella la cartilagine mediante suture o incisioni e riposiziona il padiglione, nascondendo la cicatrice.
Anestesia e Durata: Solitamente anestesia locale con sedazione, con durata dell'intervento tra 60 e 120 minuti.
Post-operatorio: È necessario indossare una fascia elastica per circa 3-4 settimane per proteggere le orecchie, specialmente la notte. Il gonfiore scompare in pochi giorni.
Età: Eseguibile già dai 6-7 anni, quando lo sviluppo della cartilagine auricolare è quasi completo
-
Si tratta di un insieme di procedure chirurgiche (ossee e dei tessuti molli) mirate a modificare i tratti somatici maschili per renderli più delicati, curvi e tipicamente femminili.
Le aree principali di intervento sono:
Fronte, Sopracciglia e Orbite: Si riduce l'osso prominente sopra gli occhi (arcata sovraorbitaria) per ottenere una fronte liscia e tonda, associata a un lifting per alzare le sopracciglia.
Naso: Rinoplastica per stringere la punta e creare un profilo più dolce e concavo.
Mandibola e Mento: Si "lima" l'osso mandibolare per eliminare la forma quadrata e si rimodella il mento per renderlo più appuntito o affusolato (V-shape).
Pomo d'Adamo: Riduzione della cartilagine tiroidea per rendere il collo liscio.
Zigomi e Labbra: Aumento di volume (tramite protesi o grasso) per dare pienezza e morbidezza al viso.
Lip Lift: lifting chirurgico del labbro superiore
L'obiettivo finale è l'armonia: trasformare le geometrie spigolose del volto in linee più morbide e continue.
-
Il lipofilling (o lipostruttura) è un intervento di "autotrapianto" che utilizza il proprio grasso corporeo come riempitivo naturale.
La procedura si svolge in due fasi principali:
Prelievo: Si aspira una piccola quantità di grasso da zone dove è abbondante (come addome o fianchi).
Innesto: Dopo essere stato purificato, il grasso viene iniettato nelle zone che necessitano di volume.
A cosa serve:
Volumizzare: Riempie zigomi svuotati, labbra sottili, occhiaie profonde o seno.
Ringiovanire: Oltre all'effetto riempitivo, le cellule staminali presenti nel grasso migliorano notevolmente la qualità, la luminosità e l'elasticità della pelle soprastante.
-
Possibilità di realizzare mediante programmazione virtuale su TC protesi custom made di zigomo, mento, angoli mandibolari
-
Rimozione chirurgica di lesioni cutanee benigne e maligne del volto con esame istologico e ricostruzione con lembi locali
-
La medicina rigenerativa è un campo interdisciplinare innovativo che mira a riparare, sostituire o rigenerare tessuti e organi danneggiati o malati, stimolando i naturali processi di autoguarigione del corpo. Utilizza tecniche come cellule staminali, fattori di crescita (PRP)
PRP (Plasma Ricco di Piastrine): Prevede l'uso del sangue del paziente per concentrare fattori di crescita che promuovono la guarigione.

